Looking for the best dentist in Rawalpindi & Islamabad? Dreamworks Dental Studios offers world-class dental care with American standards. Dr. Maryam Bangash brings 17 years of experience, including 10+ years of practice in Florida, USA to provide exceptional dental services right here in Pakistan. We partner with you to design and craft a completely personalized treatment plan for a healthy, confident, and beautiful smile.
- Emergency? Call Us: 0332-3333577

Meet Dr. Maryam Bangash: Your Expert in Smile Design
Meet Dr. Maryam Bangash, one of Pakistan’s most qualified dentists with American training and credentials. As a New York University College of Dentistry graduate and Florida-licensed dentist with over 17 years of experience, Dr. Bangash brings world-class expertise to Rawalpindi and Islamabad.
Looking for the best dentist near you? Dr. Bangash’s unique combination of Pakistani roots and American training ensures you receive dental care that meets the highest international standards right here at home.
Dr. Bangash possesses a broad range of clinical expertise, with particular focus on cosmetic dentistry, prosthodontics, oral surgery, and preventive care. Her artistic eye and advanced training allow her to expertly design and create stunning, natural-looking smile makeovers. To further support her practice, Dr. Bangash earned a fellowship in implantology from California Implant Institute.
EDUCATION & CREDENTIALS
๐ Doctor of Dental Surgery (DDS)
New York University College of Dentistry
๐ Bachelor of Dental Surgery (BDS)
Army Medical College, Pakistan
๐ Fellowship in Implantology
California Implant Institute
AREAS OF EXPERTISE
– Cosmetic Dentistry & Smile Design
– Dental Implants & Full Mouth Reconstruction
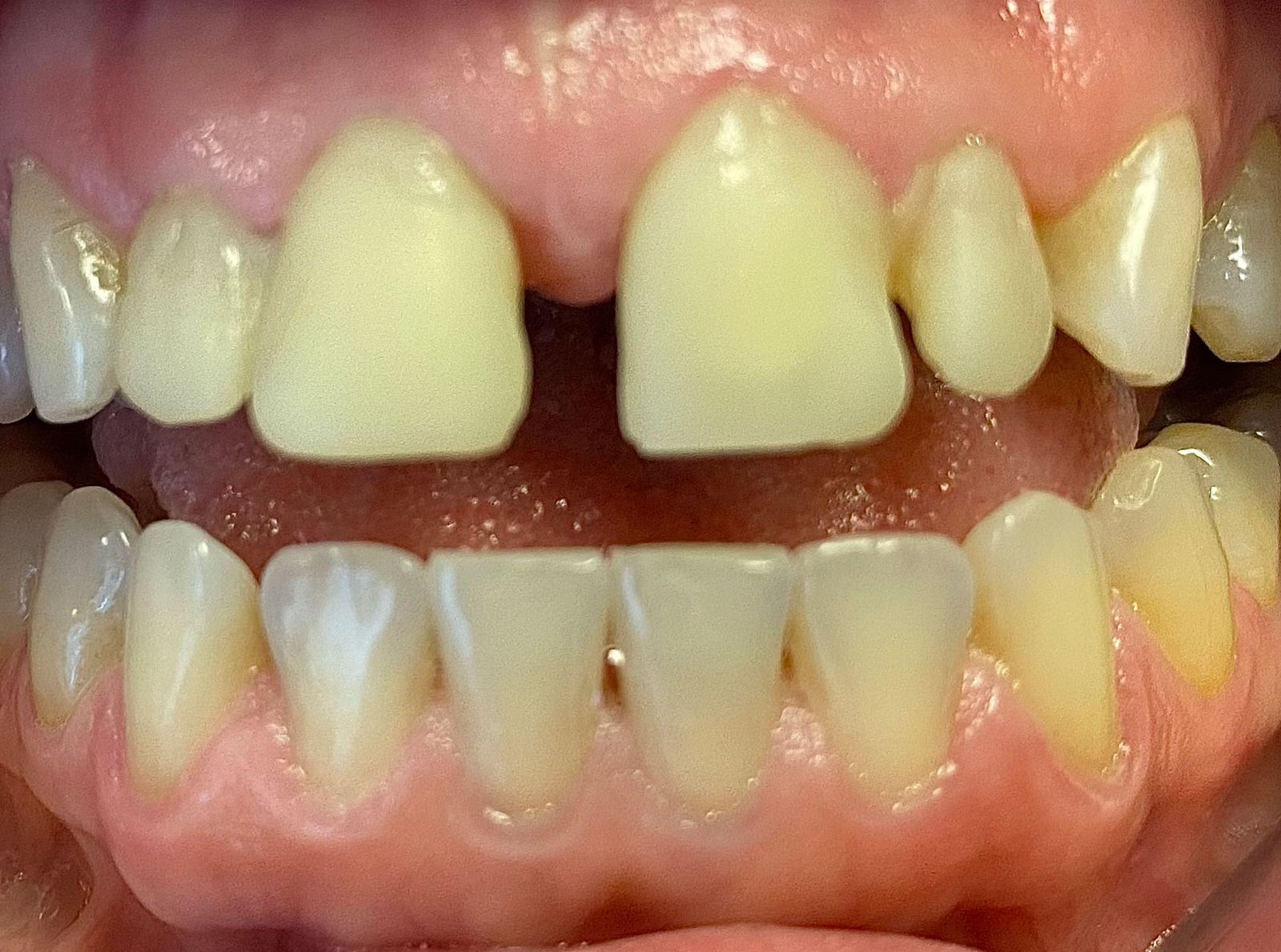
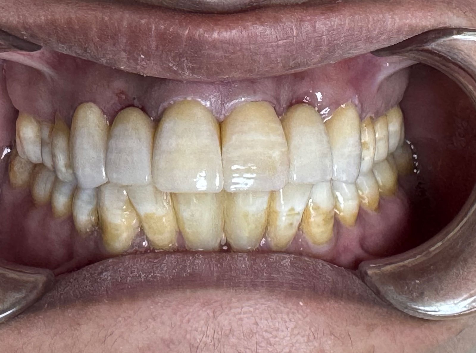
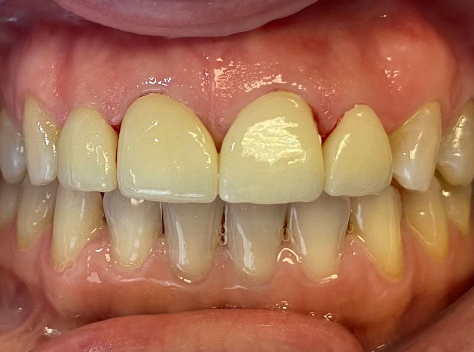
– Prosthodontics (Crowns, Bridges, Veneers)
– Root Canal Treatment (Endodontics)
– Oral Surgery & Tooth Extractions
– Preventive & Family Dentistry
A Commitment to World-Class Care & our Vision
With a passion for elevating dental care in her home country, Dr. Bangash has returned to Pakistan to bring world-class, patient-centered dentistry guided by international standards. She is committed to providing comprehensive cosmetic solutions that not only enhance appearance but also improve confidence and oral health. A strong advocate for preventive dentistry, she also emphasizes the importance of regular checkups and early oral health education; believing that a beautiful, healthy smile begins with proactive care from childhood.
Why Choose Us?
As the best dentist in Rawalpindi & Islamabad, Dr. Bangash combines NYU training with 17 years of clinical experience to deliver world-class dental care at Pakistan prices.
WHY DREAMWORKS DENTAL IS THE BEST DENTIST NEAR YOU:
โ American Training & Standards
– New York University (NYU) DDS Graduate
– 10+ years clinical practice in Florida, USA
– California Implant Institute Fellowship
โ Comprehensive Services Under One Roof
– Cosmetic dentistry & smile makeovers
– Dental implants & full mouth reconstruction
– Root canal treatment & emergency care
– Family dentistry for all ages
โ Affordable Excellence
– US-quality dental care at Pakistan prices
โ Patient-Centered Care
– Same-day emergency appointments
– Gentle, pain-free procedures
– By appointment only – no waiting
Our Dental Services
Combining advanced dental techniques with a gentle touch to make your journey to a perfect smile, a relaxing dream, we deliver exceptional dental care, meeting the highest American standards of quality and technology, ensuring you receive the best right at home.
Schedule your Appointment Today
Ready to transform your smile? Contact us to book your consultation.
Call Us
Office Hours
By Appointment Only
Find us at Google
Leave us a Review



